Gum Lifts
A gummy smile can damage your confidence just as much as a stained tooth or a crooked smile. But when balanced gums frame a beautiful and white smile, it creates harmony in your entire face. Gum lifts, also known as “crown lengthening,” can balance your gumline and can be paired with other treatments or an entire smile makeover.
Our precision-focused dentists will help enhance your smile with our aesthetic solutions. Contact Precision Dental Group in Hillsborough, NJ, today for a gum lift.

What is a Gum Lift?
Gum lifts, or crown lengthening, improves the aesthetics of gummy smiles by making teeth longer or creating space for dental crowns/ veneers. Excess gum and bone tissue are reshaped to expose more of the natural tooth. This is a minor surgical procedure with minimal postoperative discomfort.
Crown lengthening is often performed with other dental procedures like crowns or veneers to give you an optimal aesthetic result.
The Benefits of Gum Lifts
Gum lifts provide more than a cosmetic improvement. This procedure reshapes your gumline to bring balance, symmetry, and proportion to your smile. By exposing more of your natural teeth, this treatment helps create a more attractive frame for veneers, crowns, or your natural enamel, giving you a polished and harmonious appearance. Patients often notice that their entire face looks more balanced once their gums no longer dominate their smile.
This procedure also supports long-term oral health. By removing excess gum tissue, gum lifts can make it easier to maintain proper hygiene around the teeth and gumline, lowering the risk of inflammation and decay. At Precision Dental Group, our focus is on delivering results that look beautiful and function comfortably, so your enhanced smile also supports your overall well-being.
Trust Our Certified Periodontist With Your Results
Dr. Wong is a board-certified periodontist who embraces new results and advanced dental technology for any dental work done in our office. Gum procedures can often be considered difficult or painful, but thanks to our techniques, gum lift recovery is short and comfortable.
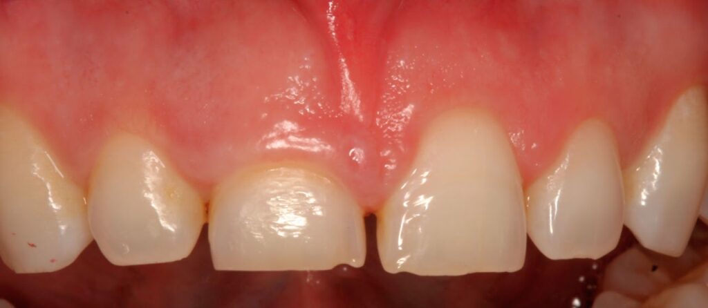
We focus on creating a balanced smile so you can embrace your appearance more fully. Our results speak for themselves. See below examples of actual gum lift cases.




What to Expect During a Gum Lift
The process for a gum lift is simple. Here are the steps we take to get your smile to the next level:
Enhance Your Entire Smile with a Gum Lift
Enhance how your teeth appear by treating your gums. Call us for comfortable gum lifts in Hillsborough, NJ, today.


