

All-on-X Implant Therapy


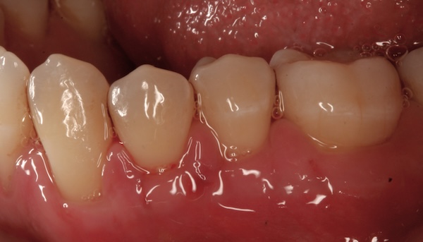
Bone Graft, Implants, Crowns, and Bridges


Crown Lengthening


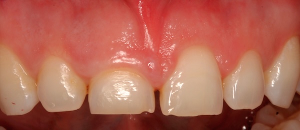
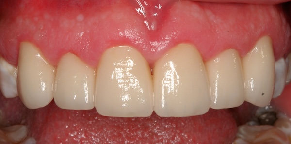
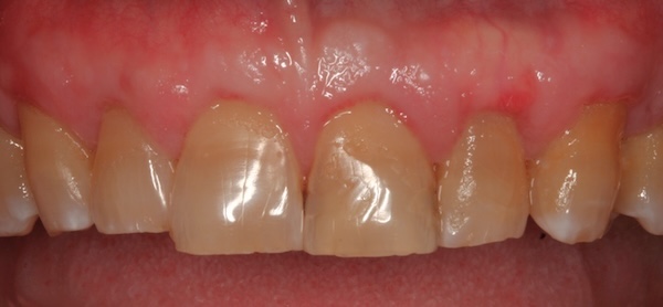
Esthetic Crown Lengthening and Crown


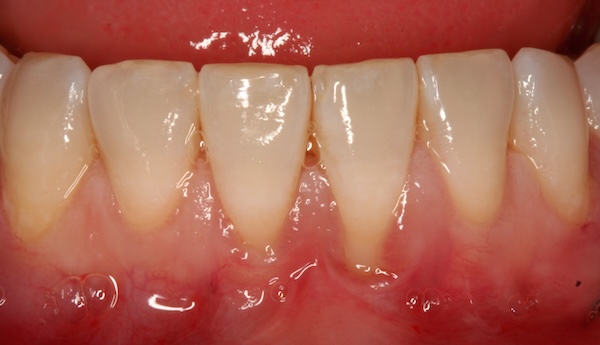
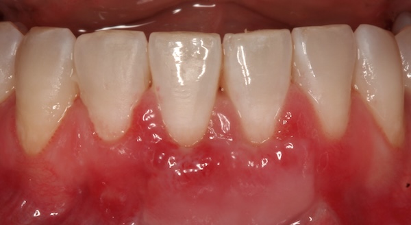
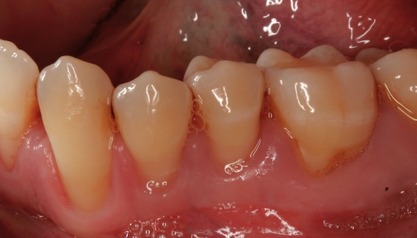
Soft Tissue Graft – Gum Graft


Soft Tissue Graft – Gum Graft


Soft Tissue Graft – Gum Graft


Soft Tissue Graft – Gum Graft


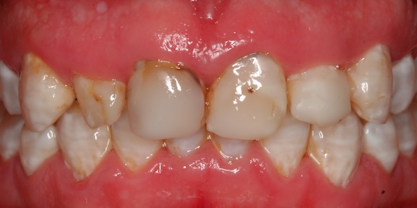
Composite Fillings


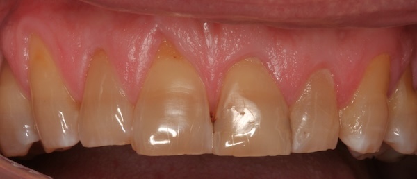
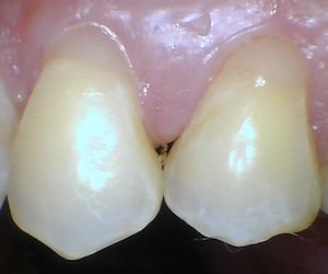
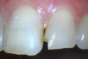
Treating Fracture Molar with Composite


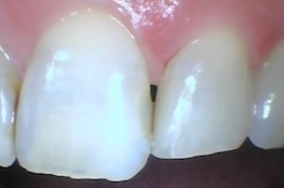
Front Tooth Filling
